すべての症例
小児矯正(10代矯正)
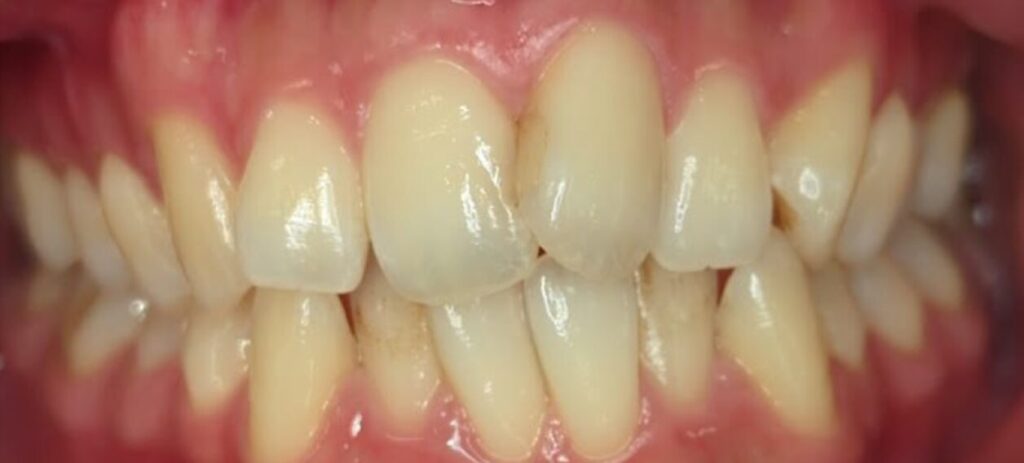
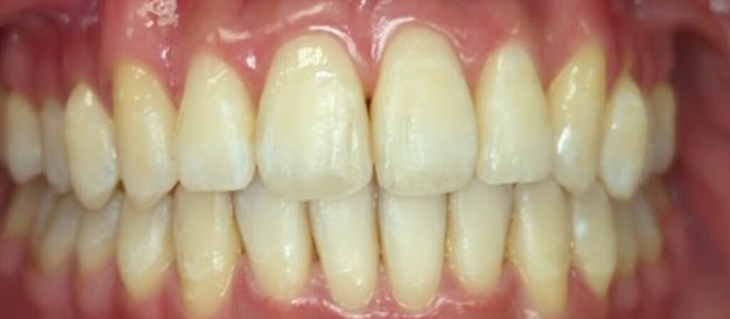
8歳 男性 インビザラインファースト矯正

Before

After
| 診断名 | インビザラインファースト矯正 |
|---|---|
| 年齢・性別 | 8歳 男性 |
| 治療の目的 | 歯並びを改善するため |
| 治療期間・回数 | <3年1か月(個人差あります)>30回 |
| 治療方法 | マウスピースによる歯並びの改善 |
| 費用 | 治療費550,000円(税込) ※自由診察 ※別途診察費等がかかります |
| デメリット・注意点 | 噛み合わせの調整が必要になる場合があります ※個人差があります。 |
| 備考 | 【注意書き】 • 掲載している症例は一例であり、すべての方が同じ結果になるとは限りません。 • 年齢・症状・口腔内の状態により治療内容や効果は異なります。 • 治療については必ず歯科医師による診察・相談を受けたうえでご検討ください |
大人の矯正
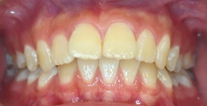
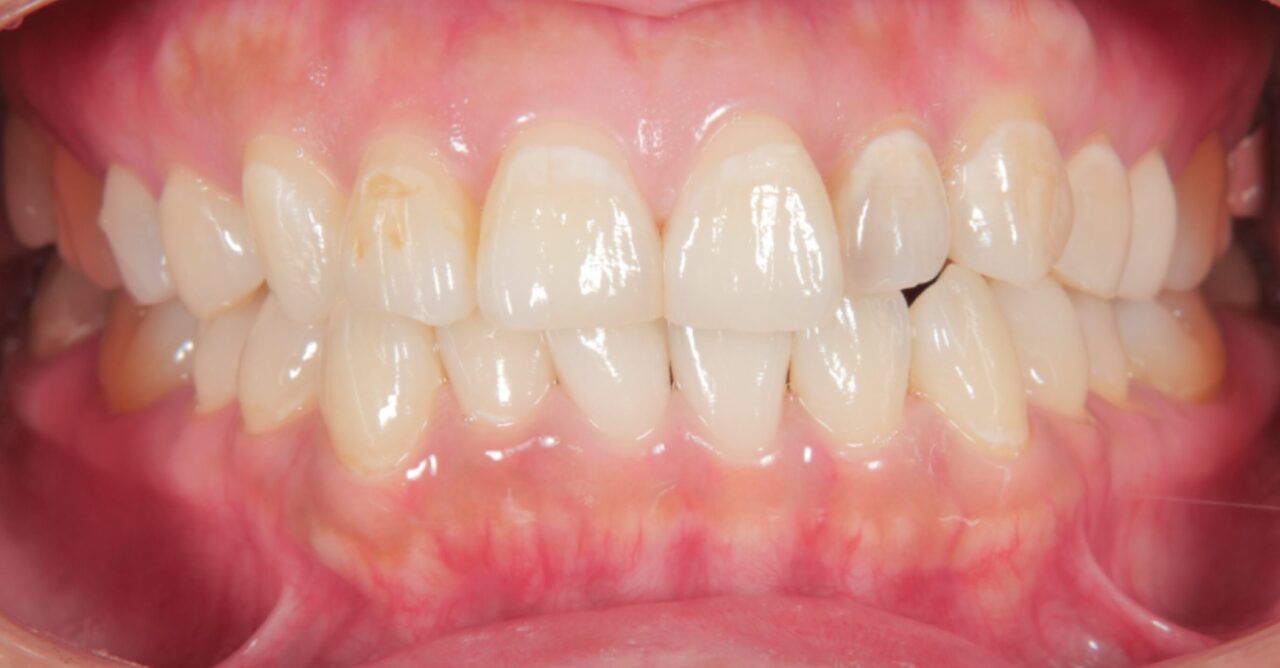
25歳 女性 インビザライン矯正治療

Before

After
| 診断名 | インビザライン矯正(モデレートパッケージ) |
|---|---|
| 年齢・性別 | 25歳 女性 |
| 治療の目的 | 前歯部の歯並びを改善するため |
| 治療期間・回数 | <11か月(個人差あります)>11回 |
| 治療方法 | マウスピースによる歯並びの改善 |
| 費用 | 治療費715,000円(税込) ※自由診察 ※別途診察費等がかかります |
| デメリット・注意点 | 噛み合わせの調整が必要になる場合があります ※個人差があります。 |
| 備考 | 【注意書き】 • 掲載している症例は一例であり、すべての方が同じ結果になるとは限りません。 • 年齢・症状・口腔内の状態により治療内容や効果は異なります。 • 治療については必ず歯科医師による診察・相談を受けたうえでご検討ください |
小児矯正(10代矯正)
18歳 女性 インビザライン矯正治療(非抜歯)

Before

After
| 診断名 | 前歯が出ているが気になる |
|---|---|
| 年齢・性別 | 18歳 女性 |
| 治療の目的 | 上顎前突の改善 |
| 治療期間・回数 | 1年3か月<23回(カウンセリング含む)> |
| 治療方法 | マウスピースによる歯並びの改善 |
| 費用 | 治療費880,000円 (税込) ※自由診察 ※別途診察費等がかかります |
| デメリット・注意点 | 噛み合わせの調整が必要になる場合があります ※個人差があります。 |
| 備考 | 【注意書き】 • 掲載している症例は一例であり、すべての方が同じ結果になるとは限りません。 • 年齢・症状・口腔内の状態により治療内容や効果は異なります。 • 治療については必ず歯科医師による診察・相談を受けたうえでご検討ください |
アイコン治療
34歳 女性 両上1.2.3.4アイコン治療

Before

After
| 診断名 | 上顎前歯部の白濁 |
|---|---|
| 年齢・性別 | 34歳 女性 |
| 治療の目的 | 上顎前歯部の白濁を改善するため |
| 治療期間・回数 | 1週間<2回> |
| 治療方法 | アイコンインフィルトラントを使用した、両上1.2.3.4アイコン治療 |
| 費用 | 121,000円 ※自由診療 ※症例により費用が異なることがあります |
| デメリット・注意点 | 知覚過敏が一時的に生じることがあります ※個人差があります。 |
| 備考 | 【治療のポイント】 歯を削らないで見た目を改善することができます 【注意書き】 ・掲載している症例は一例であり、すべての方が同じ結果になるとは限りません。 ・年齢・症状・口腔内の状態により治療内容や効果は異なります。 ・治療については必ず歯科医師による診察・相談を受けたうえでご検討ください |